تزریق یا بلوک مفاصل بین مهرهای (فَسِت)
facet Joint Injection/block
مفصل فست کجاست؟

مفاصل فست مفاصل کوچکی هستند که در بین مهرههای ستون فقرات قرار دارند. آنها به حرکت و پایداری ستون فقرات کمک میکنند. شما میتوانید آنها را مانند محورهایی تصور کنید که به ستون فقرات امکان خم شدن، چرخش و حرکت را میدهند. این مفاصل دارای غضروف و مایعی هستند که اصطکاک را کاهش داده و حرکت را صاف میکنند. بعضیاوقات، مفاصل فست ممکن است مشکلاتی مانند التهاب مفصل یا صدمه داشته باشند که میتواند درد و سفتی در پشت ایجاد کند. روشهای درمان شامل فیزیوتراپی، داروها، تزریقات و گاهی اوقات جراحی است.

تزریق فست به چه بیمارانی کمک می کند؟
تزریقات مفصل فست میتواند برای بیمارانی که درد و علائم دیگری مرتبط با شرایط مربوط به مفاصل فست دارند، مفید باشد. این تزریقات معمولاً به عنوان ابزار تشخیصی و مداخله درمانی استفاده میشوند. در زیر گروههایی از بیمارانی که از تزریقات مفصل فست بهرهمند میشوند آورده شده است:
۱. بیماران درد مزمن پشت: بیمارانی که درد مزمن پشت را تجربه میکنند، میتوانند از تزریقات مفصل فست بهرهمند شوند. اگر مفاصل فست به عنوان منبع درد مشکوک باشند، این تزریقات میتوانند به تأیید تشخیص کمک کنند و تسکین موقتی فراهم کنند.
۲. بیماران مبتلا به التهاب مفصل فست: التهاب مفصل فست، همچنین با نام التهاب استئوآرتریت مفصل فست شناخته میشود و به تخریب غضروف و التهاب مفاصل فست مرتبط است. بیماران مبتلا به این شرایط معمولاً درد، سفتی و محدودیت در حرکت را تجربه میکنند. تزریقات مفصل فست میتوانند درد را کاهش داده و قابلیت حرکت را بهبود بخشند.
۳. بیماران مبتلا به سندرم مفصل فست: سندرم مفصل فست به مجموعه ای از علائم ناشی از تحریک یا آسیب به مفاصل فست اشاره دارد. این وضعیت می تواند ناشی از ضربه، تغییرات تخریبی یا کشیدگی های مکرر باشد. بیماران مبتلا به سندرم مفصل فست ممکن است درد موضعی، اسپاسم عضلانی و مشکل در برخی حرکات را تجربه کنند. تزریق مفصل فست می تواند تسکین دهنده باشد و به مدیریت این علائم کمک کند.
4. درمان های محافظه کارانه ناموفق: بیمارانی که درمان های محافظه کارانه مانند فیزیوتراپی، داروهای ضد درد و اصلاح فعالیت را امتحان کرده اند، اما به تسکین کافی درد ناشی از مفصل فست دست نیافته اند، ممکن است کاندیدای تزریق مفصل فست باشند. این تزریق ها می توانند به عنوان یک رویکرد هدفمندتر و موضعی تر برای مدیریت درد عمل کنند.
داروها و روش های مورد استفاده در تزریق:
- کورتیکواستروئید ها یا کورتون:
ترامسینولون، دگزا متازون و متیل پردنیزولون داروهایی هستند که به طور شایع در این تزریق بکار می روند. این داروها در دوز و میزانی به کار می روند که خطر پوکی استخوان را به همراه ندارد.
- بی حس کننده های موضعی:
لیدوکایین یا بپوواکائین هم که بی حس کننده موضعی است برای کاهش درد فوری همراه این دارو ها بکار می رود.
معمولا نرمال سالین هم برای رقیق کردن دو داروی فوق می تواند استتفاده شود.
- اوزون:
بنا بر تشخصی پزشک در این تزریق می توان از اوزون برای کاهش هر چه بیشتر التهاب و درد نیز استفاده کرد
آمادگی های قبل از تزریق
قبل انجام این اقدام شما توسط پزشک از نظر سلامت عمومی معاینه می شوید و در صورت نیاز برای شما آزمایش یا عکس واقدامات لازم درخواست می شود. اگر بیماری مزمنی مانند دیابت دارید و یا دارو ضد انعقاد (رقیق کننده خون) مانند پلاویکس، آسپرین و ضد التهاب مانند دیکلوفناک، ناپروکسن و ایبوپروفن مصرف می کنید حتما به پزشک بگویید. در صورت بارداری یا عقب افتادن عادت ماهانه نیز پزشک خود را مطلع نمایید. چنانچه به شما گفته شد داروهای خود را مصرف کنید آنها را صبح و با کمی آب مصرف نمایید و همراه خود داشته باشید. بهتر است از نصف شب قبل از درمان به بعد، از غذا خوردن و سیگار کشیدن خودداری نمایید. لطفا شب قبل از درمان دوش بگیرید و لباسهای شسته شده بپوشید و به کمر و گردن خود پماد یا لوسیون نمالید.
در زمانی که برای شما مشخص شده، همراه مدارک مانند عکس، ام آر آی و نوار عصب عضله در حالیکه که برای مدت 8 ساعت ناشتا بوده اید، به پذیرش بستری بیمارستان مراجعه می نمایید تا پس از بستری و انجام کارهای اولیه مانند تعبیه آنژیوکت و تعویض لباس به اتاق عمل اعزام شوید.
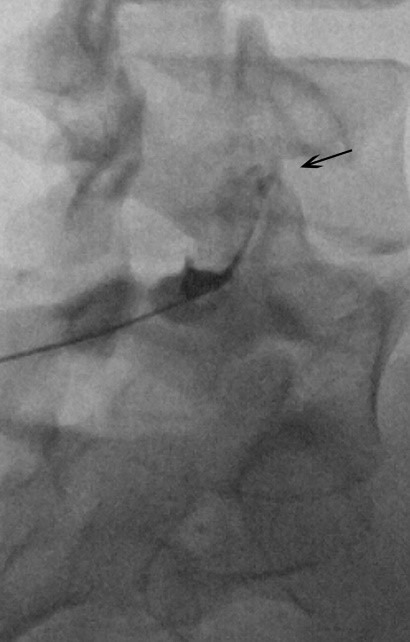
تزریق چگونه انجام می شود؟

در این روش بیمار بر روی تخت به شکم دراز می کشد. برای این درمان نیاز به بیهوشی نیست و فقط برای محل ورود سوزن از بی حسی موضعی استفاده می شود. البته در مواردی ممکن است دارویی به شما تزریق شود تا کمی خواب آلوده شوید و دردتان کاهش یابد.
ابتدا محل ورود سوزن با مالیدن موادی تمیز و استریل می شود. سپس با تزریق داروی بی حسی در محل ورود سوزن آن محل بی حس می شود. سپس سوزن مخصوص با کمک دستگاه فلوروسکوپی به محل مورد نظر هدایت می گردد. با ورود سوزن تا رسیدن آن به مفصل عکس های متعدد رادیولوژی گرفته می شود تا اطمینان حاصل شود که سوزن به محل لازم رسیده است. وقتی سوزن به محل مورد نظر رسید ابتدا مقدار کمی ماده حاجب رادیولوژی تزریق می شود تا قرار گیری سوزن در داخل مفصل فست قطعا تایید گردد.

سپس داروی کورتیکواستروئید و بی حس کننده موضعی به آرامی به محل مفصل تزریق می گردد. معمولا کل این فرایند بین 15 تا 20 دقیقه به طول خواهد انجامید. تزریق فست می تواند در خود مفصل باشد که در بالا توضیح داده شد یا در اطراف اعصابی که پیامهای درد را از فست به مغز می برند که به آن بلوک فست می گویند.
اقدامات لازم پس از تزریق
پس از تزریق از بیمار خواسته می شود که چند عمل تحریک کننده درد را انجام دهد چنانچه این مفاصل عامل اصلی درد بوده باشند بیمار در انجام این حرکات دچار درد نخواهد شد.
- پس از درمان به مدت 30 دقیقه علایم حیاتی شما مانند ضربان قلب تعداد تنفس و فشار خونتان در اتاق تحت نظر،کنترل می شود.
- در همان روز بهتر است رانندگی و فعالیتهای سنگین نکنید.
- مقدار کافی آب مصرف کنید تا اثر داروی حاجب رادیولوژی برطرف گردد.
- در روز بعد از درمان فرد می تواند با احتیاط به فعالیتهای روزانه اش برگردد.
ممکن است در چند روز اول، محل تزریق دردناک باشد که علت آن گرفتگی و انقباض عضلات اطراف است. برای کاهش درد در ابتدا از یخ و سپس از گرما استفاده کنید. همچنین می توانید مسکنی که پزشکتان تجویز کرده را مصرف نمایید. در روز اول بهتر است برای کاهش درد کمی یخ که داخل یک پارچه پیچیده شده را روی محل درد بگزارید. اینکار را به مدت چندین دقیقه ادامه دهید و سه چهار بار در روز تکرار کنید. از روز دوم می توانید از گرما مثلا کیسه آب گرم استفاده کنید.
• معمولا بهتراست قبل از بازگشت به فعالیتهای معمول چند روز استراحت نسبی داشته باشید.
• قبل از ترخیص حتما یک وقت ویزیت در 1 تا 2 هفته آینده با پزشکتان بگیرید.
در صورت ایجاد علایم زیر بلافاصله با پزشکتان تماس بگیرید:
• تب بالای 38 درجه سانتی گراد
• ترشح و تورم و قرمزی زیاد در اطراف محل ورود سوزن
• افزایش شدید درد ناحیه ورود سوزن
• اختلال دفع ادرار و مدفوع
• بی حسی ناحیه بین مقعد و آلت تناسلی
نتیجه این درمان چه خواهد بود:
چون داروی بی حسی در محل تزریق شده، درد شما پس از تزریق کاهش می یابد اما با از بین رفتن اثرات آن کم کم درد محل تزریق باز می گردد. کورتون معمولا دو سه روز زمان لازم دارد تا شروع به عمل کند و آرام آرام درد را کاهش دهد. در حدود کمتر از نیمی از بیماران درد به میزان زیاد کاهش یافته یا کاملا بهبود می یابد. اما در گروهی ممکن است درد کاملا کاهش نیابد و یا پس از یکی دو هفته تا یکی دو ماه برگردد. در این موارد ممکن است لازم شود تزریق دوباره تکرار شود. این تزریق در صورت نیاز می تواند تا 3 بار در سال هم تکرار گردد. در درصدی از افراد هم تزریق اثر کمی بر درد دارد که در این صورت معمولا عامل درد شما محل دیگری در کمر است و یا در مواردی برای کاهش درد نیاز است درمان های دیگر مانند بلوک کردن عصب مربوط به مفصل فست و یا جراحی انجام شود.
پس از نه ماه تا یک سال درد مفصل فست در تعدادی از بیماران بر می گردد. لذا پس از این تزریق بیمار باید برای کاهش عود عواملی که باعث ایجاد مشکل شده که تعدادی از آنها را در ابتدای فصل توضیح داده شد را کاهش دهید. و برای پیشگیری ورزش های مفید برای این مفاصل را انجام دهید.
عوارض احتمالی
عوارض این روش درمانی نادر است اما در صورت رویداد ممکن است شامل موارد زیر باشند:
- واکنش آلرژیک به داروی حاجب رادیولوژی یا داروی بی حسی موضعی که مختص این درمان نیست و بسیار نادر است.
- خونریزی که یک عارضه نادر است در بیمارانی که داروهای ضد انعقاد مصرف می کنند ممکن است روی دهد.
- عفونت که در کمتر از 1/0% موارد روی می دهد.
- احساس ناراحتی یا تشدید درد در محل که در مدت کوتاهی از بین می رود و به علت ورود سوزن به محل می باشد.
- آسیب ریشه های عصبی که عارضه نادری است زیرا که هدایت سوزن به محل مورد نظر با کمک دستگاه رادیولوژی یا سونوگرافی انجام می شود و این کار میزان احتمال برخورد سوزن با ریشه ها را به حداقل می رساند.
- ضعف موقت پا ها که شیوع زیادی ندارد. عصب از جلوی مفصل فست می گذرد. در تعدادی از بیماران داروی تزریق شده ممکن است به عصب برسد و آنرا بی حس یا آزرده کند که باعث ضعف پاها شده و ممکن است فرد نتواند روی پایش بیاستد. با توجه به نوع داروی مصرف شده این مشکل به آرامی بر طرف می شود.